
There are 26 bones in the human foot, and it only takes one of them breaking to transition a big bodied, fast wide receiver receiver to another player on the bench. Today I will be taking an in-depth look at DeVante Parker’s 5th metatarsal fracture also known as a Jones’s Fracture.
Form and Function of the Foot
The foot is an amazing example of engineering 26 bones, 33 joints and over 100 muscles, ligaments and tendons allow for the foot to quickly switch between a rigid lever and absorptive point of contact while walking. As a rigid lever the foot transfers the powerful forces created by the hips into the ground allowing for liftoff during walking and running. As an adaptable point of contact the foot is able to take on the large impact of the body when it comes back into contact with the ground. The area of the foot we are focusing on today is the 5th metatarsal, a long thin bone located on the outer edge of the middle of the foot.
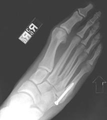
A Jones fracture, named after Dr. Robert Jones who fractured his own foot while dancing, happens specifically when the bone breaks ½ inches in front of the base of the bone as pictured.
Why is this injury is so problematic?
The outer edge of the foot is key for pushing off the ground during sprinting, cutting and other football motions, as it is the last area of contact with the ground before lift off. Pain and swelling along the outer edge of the foot after movement is the first sign of a possible Jones fracture. Another reason this injury sidelines players for an extended period is the limited blood supply. While bone tissue receives more blood then tendons and muscles, this is a small bone that is located very far away from the heart and is one of the last places, oxygenated blood will travel to. The limited amount of oxygen received by the bone greatly reduces the healing capacity. One way to increase the stability of the bone is to perform surgery an option often used by NFL players.
While lay people do not require surgery for a Jones fracture the demands of NFL play require that surgery be performed on the foot when injury first occurs. The surgery known as an “intramedullary fixation” involves the insertion of a nail long ways into the middle of the bone to help support the area during movement.
While the extra support provided is often helpful in preventing re-fracture the healing process requires up to six weeks of non weight bearing through the foot. This period of inactivity often increases the need for additional therapy after the surgical site is healed. Parker also elected to have the initial screw replaced last season, while this delayed his start last year, this reinforcement should prevent injuries down the road.
Research on Players who have had Jones fracture surgery.
In a 2015 study1 25 players, eight of which were wide receivers, who acquired a Jones fractures within there first three years of play underwent analysis to determine the ability to return to play. The good news was that 100% of the players in the study were able to return to play within ten weeks. The not so good news is that 12% re-fractured the same bone within two seasons. While re-fracture is a never a good thing, I see the 1/9 odds as a long shot risk. Other wide receivers in the league to have had this injury include Raider Michael Crabtree (2009), Falcon Julio Jones (2011 his rookie season and 2013), and Sammy Watkins (2016). These players are currently some of the top in the league and Crabtree has not had a reoccurrence of this injury since. While Julio Jones did suffer re-fracture of the area two years after the initial surgery he was to return to full form the following season.
Outlook for DeVante Parker.
First and foremost this injury should not be the cause of any future injuries for DeVante Parker. After reviewing research and looking at statistics the Miami Dolphins training staff has done very well in ensuring that Parker’s foot is as healthy as possible before returning to the field. Recent reports of hamstring injury out of camp are most likely the staff playing it safe with Parker and as reported by Adam Gase are not at all related to the Jones Fracture.

Will Merring SPT.
Sources
- Lareua C, Hsu A, Anderson R. “Return to Play in National Football League Playesr After Operative Jone’s Fracture Treatment.” Foot and Ankle Society. 2015: October 2015. 1-9.
Leave a comment